Anatomic vs. Reverse Shoulder Arthroplasty

If you are considering shoulder replacement surgery, it’s important to understand the two main types: anatomic total shoulder arthroplasty (ATSA) and reverse total shoulder arthroplasty (RTSA). Both can help relieve pain and improve movement, but they are used in different situations depending on your shoulder’s condition.[1][2][3][4][5]

Anatomic Total Shoulder Arthroplasty (ATSA):

- This surgery replaces the shoulder joint with parts that mimic your natural anatomy—a new ball (humeral head) and socket (glenoid).
- ATSA works best if your rotator cuff (the group of muscles and tendons that stabilize your shoulder) is healthy and strong.
- It is usually recommended for younger, active patients with osteoarthritis or other types of shoulder arthritis, and no major damage to the rotator cuff.[1][2][6][7][4]
- ATSA often provides better rotation and overall movement when the rotator cuff is intact.[1][8][6][9]
- However, if the rotator cuff becomes weak or tears after surgery, the artificial socket may loosen over time.[1][9]

Reverse Total Shoulder Arthroplasty (RTSA):


- In RTSA, the normal ball-and-socket structure is switched: the ball is placed on the shoulder blade, and the socket is placed on the upper arm bone.[3][4][5]
- RTSA is designed for people with a torn or irreparable rotator cuff, severe shoulder arthritis, or major bone loss in the socket.
- It is often used for older adults, those with complex fractures, or those at risk for future rotator cuff problems.[1][2][6][10][7][11][12]
- RTSA does not rely on the rotator cuff for movement. Instead, the deltoid muscle (on the outside of your shoulder) helps lift your arm.[1][2][13][10][3][4][11]
- RTSA can provide reliable pain relief and improved ability to raise your arm overhead, especially if you had trouble lifting your arm before surgery.[8][14]
- Some patients may have slightly less rotation compared to ATSA, and RTSA may have a higher risk of certain complications if the rotator cuff is healthy.[13][6][14][9]

Which Surgery Is Right for You?

- ATSA is usually chosen for patients with a healthy rotator cuff and good bone quality, especially if they are younger and active.[1][2][8][6][7]
- RTSA is recommended for patients with a torn rotator cuff, severe bone loss, or those who are older or have complex shoulder problems.[1][2][13][6][15][10][14][9][16][7][3][4][11][12]
- In some cases, RTSA may be considered even if the rotator cuff is intact, especially if there is concern about future rotator cuff problems or severe bone deformity.[6][15][10][14][9]
- Both surgeries are safe and effective when matched to the right patient. Your surgeon will help decide which option is best for your shoulder based on your age, activity level, rotator cuff health, bone quality, and personal goals.[1][6][15][10][16][7]


If you have questions about which type of shoulder replacement is right for you, book an appointment with our office to discuss!

References

  1. Trends in Shoulder Arthroplasty: A Narrative Review of Predominant Indications and the Most Commonly Employed Implant Designs. Fornaciari P, Jamei-Martel O, Vial P. Journal of Clinical Medicine. 2025;14(9):3186. doi:10.3390/jcm14093186.

  2. Treatment of Glenohumeral Osteoarthritis. Rolando MD, Ilya MD, Sara MD, et al. American Academy of Orthopaedic Surgeons (2020).

  3. Update on Shoulder Arthroplasties With Emphasis on Imaging. Weaver JS, Omar IM, Chadwick NS, et al. Journal of Clinical Medicine. 2023;12(8):2946. doi:10.3390/jcm12082946.

  4. Shoulder Arthroplasty, From Indications to Complications: What the Radiologist Needs to Know. Lin DJ, Wong TT, Kazam JK. Radiographics : A Review Publication of the Radiological Society of North America, Inc. 2016 Jan-Feb;36(1):192-208. doi:10.1148/rg.2016150055.

  5. ACR Appropriateness Criteria® Imaging After Shoulder Arthroplasty: 2021 Update. Roberts CC, Metter DF, Fox MG, et al. Journal of the American College of Radiology : JACR. 2022;19(5S):S53-S66. doi:10.1016/j.jacr.2022.02.019.

  6. Reverse Shoulder Arthroplasty With Preservation of the Rotator Cuff for Primary Glenohumeral Osteoarthritis Has Similar Outcomes to Anatomic Total Shoulder Arthroplasty and Reverse Shoulder Arthroplasty for Cuff Arthropathy. Nazzal EM, Reddy RP, Como M, et al. Journal of Shoulder and Elbow Surgery. 2023;32(6S):S60-S68. doi:10.1016/j.jse.2023.02.005.

  7. Anatomic and Reverse Shoulder Arthroplasty in Patients 70 Years of Age and Older: A Comparison Cohort at Early to Midterm Follow-Up. Poondla RK, Sheth MM, Heldt BL, et al. Journal of Shoulder and Elbow Surgery. 2021;30(6):1336-1343. doi:10.1016/j.jse.2020.08.030.

  8. Clinical Outcomes of Anatomical Versus Reverse Total Shoulder Arthroplasty in Patients With Primary Osteoarthritis, an Intact Rotator Cuff, and Limited Forward Elevation. Trammell AP, Hao KA, Hones KM, et al. The Bone & Joint Journal. 2023;105-B(12):1303-1313. doi:10.1302/0301-620X.105B12.BJJ-2023-0496.R2.

  9. Anatomic Shoulder Arthroplasty With High Side Reaming Versus Reverse Shoulder Arthroplasty for Eccentric Glenoid Wear Patterns With an Intact Rotator Cuff: Comparing Early Versus Midterm Outcomes With Minimum 7 Years of Follow-Up. Cuff DJ, Simon P, Patel JS, Munassi SD. Journal of Shoulder and Elbow Surgery. 2023;32(5):972-979. doi:10.1016/j.jse.2022.10.017.

  10. Current Role of Reverse Total Shoulder Arthroplasty in the Management of Glenohumeral Osteoarthritis. Hays C. The Orthopedic Clinics of North America. 2024;55(4):489-502. doi:10.1016/j.ocl.2024.05.001.

  11. Primary Shoulder Reverse Arthroplasty: Surgical Technique. Nerot C, Ohl X. Orthopaedics & Traumatology, Surgery & Research : OTSR. 2014;100(1 Suppl):S181-90. doi:10.1016/j.otsr.2013.06.011.

  12. Does Preoperative Diagnosis Impact Patient Outcomes Following Reverse Total Shoulder Arthroplasty? A Systematic Review. Coscia AC, Matar RN, Espinal EE, Shah NS, Grawe BM. Journal of Shoulder and Elbow Surgery. 2021;30(6):1458-1470. doi:10.1016/j.jse.2020.10.003.

  13. Total Shoulder Arthroplasty Versus Reverse Total Shoulder Arthroplasty: Outcome Comparison in Osteoarthritis Patients With or Without Concurrent Rotator Cuff Deficiency. Liu H, Huang TC, Yu H, et al. Medicine. 2022;101(32):e29896. doi:10.1097/MD.0000000000029896.

  14. Reverse Total Shoulder Arthroplasty for Primary Osteoarthritis With Restricted Preoperative Forward Elevation Demonstrates Similar Outcomes but Faster Range of Motion Recovery Compared to Anatomic Total Shoulder Arthroplasty. Karimi A, Reddy RP, Njoku-Austin C, et al. Journal of Shoulder and Elbow Surgery. 2024;33(6S):S104-S110. doi:10.1016/j.jse.2024.03.003.

  15. Anatomic and Reverse Shoulder Arthroplasty for Management of Type B2 and B3 Glenoids: A Matched-Cohort Analysis. Polisetty TS, Swanson DP, Hart PJ, et al. Journal of Shoulder and Elbow Surgery. 2023;32(8):1629-1637. doi:10.1016/j.jse.2023.02.125.

  16. Management of Glenohumeral Joint Osteoarthritis. Khazzam M, Gee AO, Pearl M. The Journal of the American Academy of Orthopaedic Surgeons. 2020;28(19):781-789. doi:10.5435/JAAOS-D-20-00404.

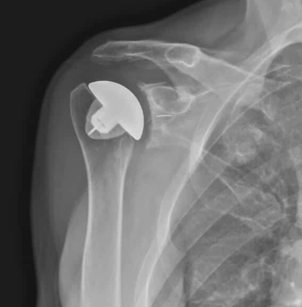
X-ray of a shoulder joint showing an anatomic total shoulder arthroplasty
X-ray image of a shoulder with a reverse shoulder prosthesis
X-ray image of a shoulder with an anatomic total shoulder arthroplasty
X-ray image showing a shoulder with a reverse total shoulder arthroplasty
X-ray image of a right shoulder with reverse shoulder arthroplasty