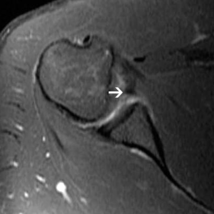
What is a labral tear?
A shoulder labral tear is an injury to the ring of cartilage (labrum) that helps keep your shoulder joint stable. The labrum acts like a bumper, deepening the socket where your arm bone fits and helping keep your shoulder from slipping out of place. Labral tears often happen after a fall, sports injury, or sudden force to the shoulder, and can lead to pain, clicking, or a feeling that the shoulder might "pop out" or dislocate.[12]
Risk Factors for Repeat Dislocation
Some people are more likely to have their shoulder dislocate again after a labral tear. The main risk factors include:
• Younger age (especially under 20-25 years old)
• Playing contact or competitive sports
• Having more than one dislocation before surgery
• Certain types of labral tears (like ALPSA lesions or tears in the lower front part of the labrum)
• Bone loss in the shoulder socket or arm bone (glenoid or Hill-Sachs lesions)
• Delaying surgery for more than 6 months after the first dislocation[5-7]
Non-Operative Treatments
For some people, especially those who are older or less active, non-surgical treatment may be recommended first. This usually includes:
• Rest and wearing a sling for a few weeks
• Physical therapy to strengthen shoulder muscles and improve movement
• Pain medications or anti-inflammatory drugs
• Sometimes, bracing to help prevent another dislocation
About half of people treated this way do not have another dislocation, but younger, active patients have a much higher risk of repeat instability.[4][13-15]
Operative Treatments
Surgery is often recommended for young, active people, those with repeat dislocations, or those with certain types of labral tears or bone loss. The most common surgery is arthroscopic labral repair (Bankart repair), where the torn labrum is reattached to the socket using small anchors and stitches. Other procedures may be needed if there is bone loss or a large injury, such as the Remplissage, Latarjet procedure, or bone grafting.[1][3][9-11][16-18]
Types of Fixation
• Suture anchors: Small devices (metal or dissolvable) placed in the bone to hold the labrum in place
• Special techniques: For large or complex tears (like 270° or circumferential tears), multiple anchors are used to repair the labrum all around the socket[9-11]
Typical Postoperative Course
• First 4-6 weeks: The arm is kept in a sling to protect the repair. Gentle movement exercises may start early, but no heavy lifting or sports.
• Physical therapy: Begins with gentle range-of-motion exercises, then progresses to strengthening over several months. Therapy is key for a good recovery.[8]
• Recovery: Most people return to normal activities in 4-6 months, but full return to sports may take longer. Your surgeon and therapist will guide you through each step.
• Risks: There is a small chance of repeat dislocation, especially in younger athletes or those with certain tear types. Stiffness or pain can occur but usually improves with therapy.[6-7]
Summary
Labral tears can cause pain and instability in the shoulder. Treatment depends on your age, activity level, and the type of tear. Surgery offers the best chance to prevent repeat dislocation in young, active people, while non-surgical care may work for others. Rehabilitation is important for a full recovery.
Schedule an appointment with us if you have a labral tear and would like to discuss your treatment options!
References
Does This Patient Have an Instability of the Shoulder or a Labrum Lesion?.
Luime JJ, Verhagen AP, Miedema HS, et al. JAMA. 2004;292(16):1989-99. doi:10.1001/jama.292.16.1989.
Sheth U. Arthroscopy : The Journal of Arthroscopic & Related Surgery : Official Publication of the Arthroscopy Association of North America and the International Arthroscopy Association. 2021;37(8):2440-2443. doi:10.1016/j.arthro.2021.05.052.
Okutan AE, Oklaz EB, Aral F, et al. Journal of Shoulder and Elbow Surgery. 2025;:S1058-2746(25)00376-3. doi:10.1016/j.jse.2025.03.034.
Verweij LPE, van Spanning SH, Grillo A, et al. Knee Surgery, Sports Traumatology, Arthroscopy : Official Journal of the ESSKA. 2021;29(12):4004-4014. doi:10.1007/s00167-021-06704-7.
Treatment After Traumatic Shoulder Dislocation: A Systematic Review With a Network Meta-Analysis.
Kavaja L, Lähdeoja T, Malmivaara A, Paavola M. British Journal of Sports Medicine. 2018;52(23):1498-1506. doi:10.1136/bjsports-2017-098539.
Bottoni CR, Wilckens JH, DeBerardino TM, et al. The American Journal of Sports Medicine. 2002 Jul-Aug;30(4):576-80. doi:10.1177/03635465020300041801.
Selected Issues for the Adolescent Athlete and the Team Physician: A Consensus Statement.
Medicine and Science in Sports and Exercise. 2008;40(11):1997-2012. doi:10.1249/MSS.0b013e31818acdcb.
Edwards SL, Lee JA, Bell JE, et al. The American Journal of Sports Medicine. 2010;38(7):1456-61. doi:10.1177/0363546510370937.
Pougès C, Boutry M, Maynou C, et al. The American Journal of Sports Medicine. 2025;:3635465251350151. doi:10.1177/03635465251350151.
Anterior Shoulder Instability Management: Indications, Techniques, and Outcomes.
Arner JW, Peebles LA, Bradley JP, Provencher MT. Arthroscopy : The Journal of Arthroscopic & Related Surgery : Official Publication of the Arthroscopy Association of North America and the International Arthroscopy Association. 2020;36(11):2791-2793. doi:10.1016/j.arthro.2020.09.024.
Jin H, Zhang G, Chen S, et al. Arthroscopy : The Journal of Arthroscopic & Related Surgery : Official Publication of the Arthroscopy Association of North America and the International Arthroscopy Association. 2025;:S0749-8063(25)00612-7. doi:10.1016/j.arthro.2025.07.044.
Traumatic Anterior Shoulder Dislocation: Epidemiology, Diagnosis, and Treatment.
Goth AP, Klug A, Gosheger G, et al. Deutsches Arzteblatt International. 2025;122(4):89-95. doi:10.3238/arztebl.m2024.0254.
Herring SA, Kibler WB, Putukian M, et al. Medicine and Science in Sports and Exercise. 2024;56(3):385-401. doi:10.1249/MSS.0000000000003324.
Berthold DP, LeVasseur MR, Muench LN, et al. The American Journal of Sports Medicine. 2021;49(14):3937-3944. doi:10.1177/03635465211053632.
Mazzocca AD, Cote MP, Solovyova O, et al. The American Journal of Sports Medicine. 2011;39(8):1687-96. doi:10.1177/0363546511405449.
Arthroscopic Repair of Circumferential Lesions of the Glenoid Labrum: Surgical Technique.
Tokish JM, McBratney CM, Solomon DJ, et al. The Journal of Bone and Joint Surgery. American Volume. 2010;92 Suppl 1 Pt 2:130-44. doi:10.2106/JBJS.J.00234.
Gaunt BW, Shaffer MA, Sauers EL, et al. The Journal of Orthopaedic and Sports Physical Therapy. 2010;40(3):155-68. doi:10.2519/jospt.2010.3186.
Pougès C, Hardy A, Vervoort T, et al. The American Journal of Sports Medicine. 2021;49(5):1166-1174. doi:10.1177/0363546521996381.
SLAP Tears: Treatment Algorithm.
Fortier LM, Menendez ME, Kerzner B, Verma N, Verma NN. Arthroscopy : The Journal of Arthroscopic & Related Surgery : Official Publication of the Arthroscopy Association of North America and the International Arthroscopy Association. 2022;38(12):3103-3105. doi:10.1016/j.arthro.2022.08.005.